70-17 Grand Avenue, Maspeth, NY 11378

Smile Gallery

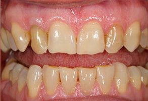
The image shows a close-up view of a person s teeth with visible signs of wear and discoloration, taken from a lower angle looking up at the mouth.

Before

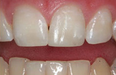
The image shows a close-up view of a person s teeth with a focus on a yellowed front tooth, which appears to be discolored or stained.

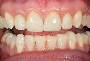
After

The image shows a close-up view of a person s mouth with teeth visible, where some teeth appear to be missing or damaged, and there are signs of dental work or issues such as gum inflammation or decayed teeth.

Before

The image displays a close-up view of a set of upper dentures with natural-looking teeth against a black background, showcasing their shape and color.

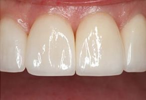
After

The image features a close-up of a person s smiling mouth with visible teeth, including a prominent front tooth.

Before

The image shows a close-up of a person s smiling mouth with white teeth, displaying a wide smile with a visible gap between the two front teeth.

After

The image shows a close-up view of a person s teeth with a focus on a dental implant and surrounding natural teeth, highlighting the difference between them.

Before

The image shows a close-up of a person s teeth with a focus on their lower front teeth, which appear to be veneered or enhanced in color and shape.

After

The image shows two sets of teeth side by side  on the left, a pair of natural human teeth with visible enamel and dentin  on the right, an artificial set of teeth with a metallic appearance, likely indicating dental implants or a similar restoration method.

Before

The image shows before-and-after dental implant results, with one side showing teeth with gaps and discoloration, and the other side displaying a fully restored set of white teeth.

After

The image shows a person s mouth with a yellowish tinge, which suggests teeth discoloration or staining, and possibly some dental issues such as decay or gum disease.

Before

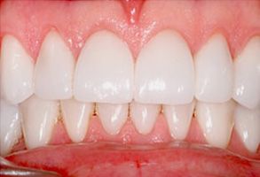
The image displays a close-up view of an individual s teeth, which are white and appear to be well-maintained.

After

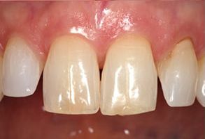
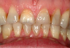
The image displays a close-up of an individual s teeth with yellowing and staining visible on some surfaces, suggesting a need for dental care or whitening treatment.

Before

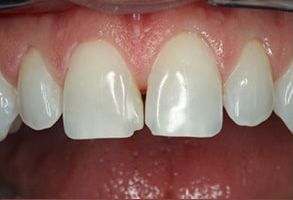
The image shows a close-up view of a person s teeth with visible staining, particularly on the front teeth, which are prominently displayed against a dark background.

After

The image shows a close-up of a person with a wide smile displaying straight teeth, with their lips slightly parted, revealing the upper lip edge.

Before

The image shows a close-up of a person s smiling face with their teeth visible, set against a blurred background.

After

The image shows a close-up view of a person s teeth with a focus on the lower front teeth, which appear to be yellowed and possibly undergoing dental treatment, such as cleaning or whitening.

Before

The image shows a close-up view of a person s teeth with a focus on a large gap between the front teeth, which are white and appear to be well-maintained, and the gums that are pink and healthy-looking.

After

The image shows a close-up of a person's teeth with visible signs of dental decay, discoloration, and potential gum disease.

Before

The image depicts a close-up view of a person's teeth with a focus on the lower front teeth, showcasing a bright smile with a clean dental appearance.

After

The image shows a close-up view of a person's teeth with yellow staining, particularly on the front teeth, which is indicative of a dental issue such as discoloration or poor oral hygiene.

Before

The image shows a close-up view of a person's teeth with a focus on a set of artificial teeth, likely for dental implant purposes, against a blurred background that does not provide any additional context about the location or setting.

After

The image shows a close-up view of a person's teeth with a partial denture.

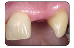
Before

The image shows a close-up view of a person's teeth with an emphasis on a large gap between two front teeth, which appears to be due to missing teeth or dental issues requiring attention.

After